2026年4月10日
「前歯だけ気になるけど、全顎矯正じゃないとダメなのかな?」と、矯正治療を検討し始めたときに多くの方がまずぶつかるのがこの疑問です。
プチ矯正(部分矯正)は費用も期間も抑えられる魅力的な治療法ですが、万能ではありません。
全顎矯正は噛み合わせまで整えられる一方で、費用と治療期間の負担は大きくなります。
どちらを選ぶべきかは「見た目だけ直したいのか、噛み合わせも含めて治したいのか」という治療のゴール次第です。この記事では、プチ矯正と全顎矯正それぞれのメリット・デメリットを比較しながら、自分に合った矯正方法を見極めるための判断基準をお伝えします。
プチ矯正(前歯部分矯正)と全顎矯正の違いは、わかりやすく表現すると
「動かす歯の範囲」と「治療で達成できるゴール」の2点に集約されます。
プチ矯正は、犬歯から犬歯までの前歯6本程度を対象に、見た目の改善を主な目的として行う矯正治療です。奥歯には基本的に手をつけないため、治療期間は3〜6か月程度と短く、費用も20万〜40万円台に収まるケースが多い治療法です。
全顎矯正は、奥歯を含む歯列全体を対象にし、噛み合わせの改善まで視野に入れた矯正治療です。
治療期間は1〜3年、費用は60万〜150万円が一般的な相場になります。
では、なぜこの2つを明確に区別する必要があるのでしょうか。
理由はシンプルで、「適応を誤ると、費用も時間もかけたのに満足のいく結果にならない」リスクがあるためです。
プチ矯正で対応できる症状に全顎矯正を行えば過剰治療になりかねませんし、全顎矯正が必要な症状にプチ矯正を適用すれば仕上がりが中途半端になる恐れがあります。だからこそ、両者の違いを正確に理解したうえで、自分の歯並びにはどちらが適切かを見極めることが大切になります。
プチ矯正の利点は、治療のハードルの低さに集約されるでしょう。費用、期間、身体的な負担のいずれにおいても、全顎矯正と比べて患者にかかるストレスが小さい点が特徴です。
全顎矯正の費用相場が60万〜150万円であるのに対し、プチ矯正は20万〜40万円台が中心です。
かずデンタルクリニックでは、片顎(前歯6本)22万円(税込)という一律設定で提供しており、全顎矯正と比較すると費用負担は大幅に軽減されます。動かす歯の本数が少ないぶん使用する装置もコンパクトで済むため、この価格差が生まれるわけです。
全顎矯正では1〜3年の通院が必要になるのに対し、プチ矯正は4〜6か月が目安です。
通院回数も8〜12回程度で完了するケースが多く、仕事や学校のスケジュールに矯正を組み込みやすいのは大きなメリットでしょう。「結婚式までに前歯だけ整えたい」「就職活動に間に合わせたい」など、明確な期限がある方には特に適した選択肢です。
矯正治療の痛みは、歯に力を加えて移動させる際に生じる歯根膜の反応が主な原因です。プチ矯正は動かす歯の本数が限られているため、全顎矯正に比べて痛みや違和感を感じる範囲が狭くなる傾向にあります。また、奥歯に装置をつけないため食事の際に噛みづらくなるストレスも軽減されるでしょう。
「歯並び全体は問題ないけど、前歯1本だけねじれている」「前歯2本の間のすき間が気になる」といった限定的な悩みに対しては、プチ矯正が合理的な解決策になります。
全体を動かす必要がないのに全顎矯正を選べば、時間も費用も余分にかかるうえに、本来動かす必要のない歯にまで負担をかけることになりかねません。
メリットが多いプチ矯正ですが、だからこそ見落としがちなデメリットもあります。治療を始めてから「こんなはずじゃなかった」と後悔しないよう、事前にリスクを理解しておくことが欠かせません。
プチ矯正は前歯の見た目を整える治療であり、奥歯の噛み合わせには手をつけません。
つまり、見た目はきれいになっても噛み合わせの不調(咀嚼のしにくさ、顎の違和感など)が残る可能性があります。噛み合わせに問題がある方がプチ矯正だけで治療を終えると、かえって上下の歯の当たり方がズレてしまうリスクすらあります。
ここが、プチ矯正の最大の弱点といっても過言ではないでしょう。「見た目だけ治れば十分なのか、噛み合わせの機能面も含めて治したいのか」を治療前にはっきりさせておくことが、後悔しない選択につながります。
重度の叢生(歯の重なりが大きいケース)、抜歯が必要な症状、骨格的な問題(受け口や著しい出っ歯など)はプチ矯正の適応外。前歯だけを動かしても根本的な解決にならないためです。「費用が安いから」という理由だけでプチ矯正を選ぶと、治療範囲の制約によって満足のいく結果が得られない可能性がある点は、正直にお伝えしておかなければなりません。
歯を移動させるスペースを確保するために、歯と歯の間をわずかに削る処置(IPR、ディスキングとも呼ばれる)が行われることがあります。削る量はエナメル質の範囲内(0.2〜0.5mm程度)にとどまり、歯の健康への影響はほとんどないとされていますが、「健康な歯を削ること自体に抵抗がある」という方にとっては心理的なハードルになるかもしれません。IPRが必要かどうかは歯並びの状態によって異なり、スペースに余裕がある症例では不要な場合も。事前のカウンセリングで確認しておくとよいでしょう。
プチ矯正は治療期間が短いぶん、歯が新しい位置に定着しきる前に保定期間に入ることになります。保定装置(リテーナー)の装着を怠ると、せっかく整えた歯並びが元に戻る「後戻り」が起きやすくなる恐れがあります。これはプチ矯正に限った話ではありませんが、治療範囲が狭いからこそ「ちょっとしたズレ」が目立ちやすいという面はあるでしょう。
全顎矯正は費用も期間もプチ矯正より大きくなりますが、そのぶん治療で達成できる範囲が格段に広がります。
全顎矯正の最大の強みは、見た目だけでなく噛み合わせの機能面まで改善できることでしょう。上下の歯がバランスよく噛み合う状態を作れるため、咀嚼効率の向上、顎関節への負担軽減、さらには歯の清掃性が改善されることで虫歯や歯周病の予防にもつながります。
歯並びの乱れは見た目の問題だけではなく、肩こりや頭痛、顎関節症といった全身の不調と関連するケースもあると指摘されています。プチ矯正が「前歯の見た目」という一部の課題にフォーカスする治療であるのに対し、全顎矯正は口腔全体の健康を視野に入れてアプローチします。費用と期間をかけるだけの理由が、ここにあります。
重度の叢生、抜歯を伴う症例、骨格的な不正咬合など、プチ矯正では対応できない複雑な歯並びにも全顎矯正であれば対応可能です。治療の選択肢が広いぶん、「やってみたら適応外だった」というリスクが低い点も安心材料になるでしょう。
歯列全体を動かして噛み合わせまで調整するため、治療後の歯並びの安定性は全顎矯正のほうが高い傾向にあります。全体のバランスが取れた状態で保定に入るため、一部だけ動かした場合に起こりがちな「隣の歯との不調和」も生じにくくなります。
全顎矯正にはプチ矯正にはない利点がある一方で、費用面・時間面の負担は軽視できません。
全顎矯正の費用相場は60万〜150万円です。ワイヤー矯正かマウスピース矯正か、表側か裏側かによっても金額は変動しますが、いずれにせよプチ矯正の数倍の出費になります。デンタルローンの活用や医療費控除の申請で負担を軽減する方法はありますが、まとまった予算が必要になることは事実でしょう。
かずデンタルクリニックではデンタルローン(120回払いまで)にも対応しているため、月々の支払いを抑えながら全顎矯正を進めるという選択肢もあります。
1〜3年にわたる通院は、仕事や生活スケジュールへの影響が小さくありません。特にワイヤー矯正の場合は月1回の調整通院が必要で、途中でモチベーションが下がりやすいという声も聞かれます。マウスピース矯正であれば通院頻度を減らせる場合もありますが、治療計画全体の長さが大きく変わるわけではない点は理解しておく必要があるでしょう。
全顎にわたって装置が装着されるため、食事のしづらさ、歯磨きの手間、口内炎のリスクなど日常生活への影響はプチ矯正より大きくなります。特に治療開始直後は食事に慣れるまで1〜2週間ほどかかる方が多い。こうした日々の小さなストレスが長期間続く点は、事前に覚悟しておきたいポイントです。
ここまでの比較を踏まえて、どちらを選ぶべきかの判断基準を整理します。
プチ矯正が適しているのは、噛み合わせに大きな問題がなく、前歯の軽度なガタつき・すきっ歯・わずかなねじれなど「見た目の改善が主な目的」の方でしょう。費用や期間を最小限に抑えたい方、イベントなどの期限に合わせて治療を終えたい方にも向いています。
全顎矯正が必要になるのは、噛み合わせの改善を含む根本的な治療が求められるケースや、抜歯を伴うほどの重度な歯並びの乱れがある方です。「一度の治療で口腔全体の健康を整えたい」という長期的な視点を持つ方には、費用は高くても結果的に満足度の高い選択になることが多いでしょう。
費用面だけを比較すればプチ矯正のほうが圧倒的に有利です。しかし、本来全顎矯正が必要な症状にプチ矯正を適用した場合、仕上がりに満足できず再治療を行うことになれば、結果的にトータルコストは全顎矯正を上回ることすらあり得ます。費用の安さだけを判断基準にするのではなく、
「自分の症状にはどちらが最適か」を専門家に診断してもらうことが、最も無駄のない投資になります。
ここで最も重要なのは「自己判断で決めないこと」でしょう。
自分ではプチ矯正で十分だと思っていても、精密検査をしてみたら噛み合わせの問題が見つかるケースは珍しくありません。逆に、全顎矯正が必要だと思い込んでいたのに、実際にはプチ矯正で十分対応できる症状だったということもあります。いずれの場合も、矯正の専門知識を持つ歯科医師の診断を受けたうえで判断するのが、後悔しないための確実なルートです。
大阪市淀川区・阪急三国駅と地下鉄東三国駅からアクセスできるかずデンタルクリニックでは、プチ矯正(部分矯正)と全顎矯正の両方に対応しています。
プチ矯正は片顎22万円(税込)、両顎44万円(税込)の一律設定です。治療期間は4〜6か月が目安で、見た目を重視したい方向けにクリアブラケット(27,500円〜55,000円/税込)も用意しています。
全顎矯正はインビザライン(マウスピース矯正)をはじめ、ワイヤー矯正にも対応しており、矯正専門のドクターが複数在籍し、歯科用CTやiTero(光学スキャナー)を使った精密検査に基づいて、プチ矯正と全顎矯正のどちらが適切かを正確に判断したうえで治療計画をご提案いたします。
「自分の歯並びにはプチ矯正で対応できるのか、全顎矯正が必要なのか」
まずはカウンセリングで、その疑問を解消してみてください。
★デンタルローン(120回払いまで対応)、クレジットカード決済、QRコード決済にも対応!
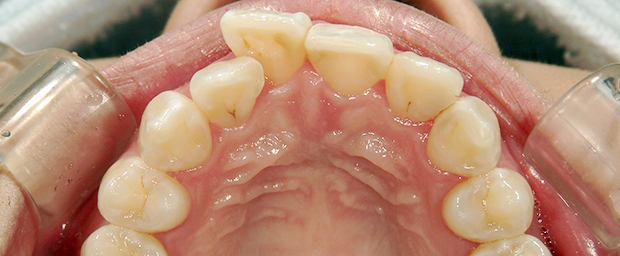
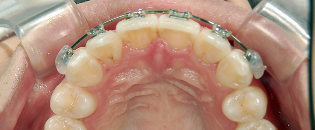
🔻【参考例】前歯部矯正(プチ矯正)
治療前

治療後

〒532-0006
大阪府大阪市淀川区西三国4-1-1
アーバンハイム川103
0120-548-067
06-4867-3192
06-4867-3194
06-4867-3194
ご予約の患者様を優先させて頂いております。
午前:10:00~13:00
午後:14:30~18:30
9:30〜13:00/14:00〜17:00
8:30~12:00【メンテナンス専門曜日】
※定期検診・クリーニング
水曜日
★土・日・祝 診療しております



