矯正治療、歯牙移植、再生療法、インプラント治療
専門ドクターが対応いたします
CT・ブルーラジカル完備*。
駐車場・個室・キッズスペースご用意。女性ドクター在籍。
*2026.9月導入予定
[ご予約について:先取り3回まで可能です]
※キャンセルがない場合に限らせて頂きます.
※院内予約 /電話予約 /web予約 【共通】
表を左右にスワイプしてご確認ください。
| 月 | 火 | 水 | 木 | 金 | 土 | 日 | |
| 午前 9:30~13:00 |
診療の 場合あり |
9:30〜13:00/ 14:00〜17:00 |
8:30~ 12:00※ |
||||
|---|---|---|---|---|---|---|---|
| 午後 14:30~19:00 |



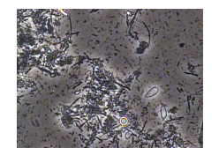
歯垢(プラーク)の中にいる生きた細菌を染色せずに(殺さずに)、リアルタイムでの菌種・活動性(動き)を観察できる特殊な顕微鏡です。
歯周病菌(スピロヘータなど)や虫歯菌、カビ(カンジダ)などの種類・量・活動性を確認し、
歯周病や口臭のリスク診断補助、治療効果判定、患者様への口腔衛生についてご提案させて頂きます。
健康な口腔内の「常在菌」と「病原菌」のバランスを可視化し、
歯周内科治療などの適切な治療方針決定に役立てています。
滅菌・消毒システムの徹底により
患者様に安心して治療をうけて頂きたい。

当院のポリシーは『清潔意識の徹底』
患者様への徹底した清潔配慮。清潔な院内、滅菌&消毒を徹底した器具と設備。治療で使用したグローブで、カルテや患者様の手に渡る物には一切触れません。受付周りは患者様と同様の清潔配慮を。スタッフが一丸となって、日々清潔意識をもって治療に取り組んでおります。
どうぞ安心してご来院くださいませ。
かずデンタルクリニック 院長 濱田和恭

治療が終わってからが、
歯の本当のケアのスタート!
今ある歯を、この先も維持してほしい!
かずデンタルでは、
治療が終わってからの定期検診に
力を入れています。
専門知識のある歯科衛生士が、
患者様に合った
歯周病ケア・メンテナンス方法
を丁寧にご説明致します。


かずデンタルには、妊娠中や子育て中のママさんスタッフが在籍しております。
そんな中で聞こえたのが、「小さい子供がいると、歯医者さんへはなかなか通えない。」という声。当院には、キッズスペースが御座います。
小さなお子様に遊んで頂いている間に、ママのしばらく置いていた治療を進めて頂けます!
おむつ替え・授乳ご希望の方は、スタッフにお声掛けください。

マタニティ検診が生まれてくる赤ちゃんのためにとても大切なこと。妊娠中の歯周病は、未熟児や低体重児を引き起こす原因と考えられています。つわりのために、十分なブラッシングができなかったり、女性ホルモンのバランスで歯ぐきが炎症を起こすと、重度の歯周病をまねく可能性も。さあ、歯医者さんを受診しましょう!


万が一、ひどい虫歯を放っておくと、
永久歯が決められた場所に生えることができず、歯並びに影響することも。
日常のブラッシング指導やフッ素塗布など、
虫歯予防をトータルにサポート致します。
お子さまの定期検診など、ぜひご相談ください。

歯を失った部分に歯医者さんがよく薦めるのは、ブリッジ、入れ歯、インプラントの3種類。しかし、かずデンタルはご自身の歯を活かす4つ目のご提案を致します!
保険適用で安心の親知らず移植をしませんか?
歯を失った部分に、ご自身の健康な親知らずを移植するという手法が可能です。
保険適用で安心して治療を進めて頂ける上、くっつけばインプラント以上にご自身の歯としてしっかりと噛むことができるとも言われています。
約1~3ヶ月程度の短期間で可能です。
ただし、治療部位(移植先)の抜歯と親知らず(移植元)の抜歯が同日の場合のみ、保険適用が可能です。(1歯 約7,000円)どうぞお気軽にご相談ください。



かずデンタルクリニックでは、前歯を中心とした歯並びをきれいにする『部分矯正』を行っております。「昔から前歯が出ているのが気になっていて」「結婚式までに歯並びきれいにしたい」「歯並びのせいで歯がうまく磨けない」いろんなお悩み一気に解決致します!


マウスピース矯正は、透明に近いマウスピース型の矯正装置(アライナー)を歯に装着して歯並びを矯正する、画期的な矯正方法です! 一人ひとりの歯に合わせて作製される矯正装置を装着し、治療の段階に合わせて新しい装置に交換しながら徐々に歯を動かし、歯並びを矯正します。
マウスピース矯正は、透明に近いマウスピース型の矯正装置(アライナー)を歯に装着して歯並びを矯正する、画期的な矯正方法です!
インビザライン・ファーストは、小学校低学年までの成長過程にあるお子様向けのクリアマウスピース矯正装置です。
「プレオルソ」は、現役の歯科医師(矯正専門)が開発した取り外しのできる「マウスピース式矯正装置」です。

「もう何年もこのままだよ。」「特には困ってないけどね。」そういった患者様が多くいらっしゃいます。抜けてしまった歯をずっと放置しておくと、周りの歯が倒れてきたり、向かいの歯が落ちてきて、噛み合せのバランスが崩れてしまいます。
肩こりや偏頭痛は、ありませんか?左右上下しっかりバランスよく噛めるお口の状態を作りましょう!

ホームホワイトニングキットなら、おウチで手軽にホワイトニングができます!
通院2~3ヵ月に1度、色味や歯の状態をチェックしに来て頂くだけでOK!
"医院に定期的に通院してホワイトニングを受ける時間がない""休日に家でゆっくりしながら気軽にホワイトニングしたい"そんな方にオススメのホワイトニングをご用意しております。
歯科医院は歯の治療を行う場所というだけではなく、口元をきれいにしてもらう場所でもあります。歯のプロフェッショナルにまずは、相談しましょう!

表を左右にスワイプしてご確認ください。
| 月 | 火 | 水 | 木 | 金 | 土 | 日 | |
| 午前 9:30~13:00 |
診療の 場合あり |
9:30〜13:00/ 14:00〜17:00 |
8:30~ 12:00※ |
||||
|---|---|---|---|---|---|---|---|
| 午後 14:30~19:00 |
〒532-0006
大阪府大阪市淀川区西三国4-1-1
アーバンハイム川103
0120-548-067
06-4867-3192
06-4867-3194
06-4867-3194
ご予約の患者様を優先させて頂いております。
午前:9:30~13:00
午後:14:30~19:00
9:30〜13:00/14:00〜17:00
8:30~12:00【メンテナンス専門曜日】
※定期検診・クリーニング
水・祝不定休
★診療の場合あり


