全顎的治療、骨再生、矯正、インプラントの他、
歯の移植もおこなっています。
歯科用CT完備。個室診療室もございます。
土曜日は17時まで。
日曜日も診療します。
駐車場完備。
キッズスペースを完備していますので、お母さんも安心して通院いただけます。
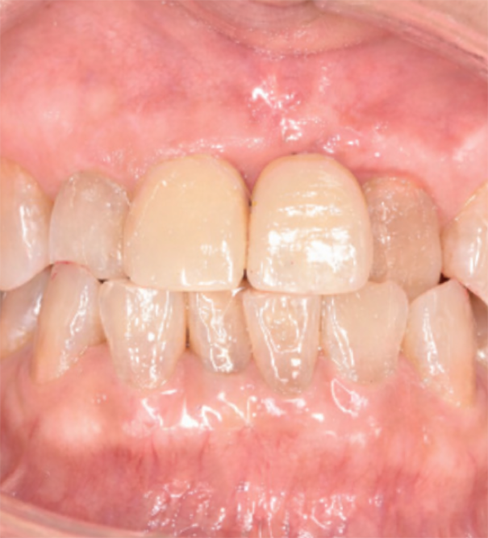
前歯部は見た目と機能の両立が重要な部位です。インプラント埋入時にGBR(骨造成)とCTG(結合組織移植)を併用し、審美性と安定性の両立を図りました。
レントゲン
(術後)

口腔内写真
(術後)

スケルトン表示
(ご説明用)

しっかりと噛めるようになりたい。でもインプラントをするには土台となる骨がない。
歯がない部分へのアプローチとして、骨造成術(GBR、CTG)、インプラント(人工歯埋入)と補綴治療(メタルセラミッククラウン)を行いました。
治療前

治療後

歯の色が気になる、歯茎との境目にブラックマージンが出てきている。歯間乳頭再建術(歯茎を伸ばす:歯周外科治療)を行ったうえで、補綴治療(オールセラミッククラウン)を行いました。
治療前

治療後

以前に神経を抜いて変色が気になっていた歯に、白くキレイなセラミッククラウンを入れました。
治療前

治療後

先天的に歯の根未完成の為、噛み合わせがない状態。親知らずの歯牙移植により、噛み合わせを作りました。
治療前

・・治療前 術前・・

・・治療後 術後・・

・・治療後 1年後・・

親知らずをこの奥歯へ移植しました。
保険適用の為、インプラントより安価で済み、また健康な歯を削るブリッジも回避できたことで、安心して治療を受けて頂きました。
治療前

治療後

スペース不足により大人の歯が埋伏していた箇所。拡大床による小児矯正を行い、キレイに歯を並べました。
経年後も維持しています。
治療前

治療後 3年後

奥歯のグラグラ。通常は抜歯検討となる『根分岐部病変』(奥歯の歯根が分岐した部分:根分岐部に細菌感染が起こり、歯の周りの骨が吸収してなくなる病気)を骨再生療法により、保存しました。経年後も維持しています。
治療前

治療後 4年後

奥歯の骨吸収(歯の周りの骨が吸収してなくなる病気)で動揺している歯を骨再生療法により保存しました。また、歯ぐきに埋まっている親知らずの埋伏抜歯をしました。経年後も維持しています。
治療前

治療後 5年後

重度の歯周病で歯の骨が溶け出し、大事な歯がグラグラ。歯が抜けてしまう危機。
ご自身の大切な歯を維持するため、骨再生を行いました。歯はしっかりと保存され、根の治療とかぶせ物をかぶせることで、しっかり噛めるようになりました。
治療前

術後 8年後

プチ矯正の手軽さと効果を聞き、
ずっと気になっていた前歯の歯ならびを
この機会に『キレイに直したい!』と希望された患者様。
知覚過敏の症状があった為、細心の注意を払い対応致しました。
治療前

治療後

ずっと気になっていた前歯のすき間。
自然な笑顔でいようと思っても、ついつい気になって隠そうとしてしまう・・・。
『何とかならないですか?』
お母様からそんなお悩みをご相談頂きました。
健康な歯を削ってラミネートをかぶせることまで考えていた患者様に院長がご提案したのは、『部分矯正』でした。
治療前

治療後

長らく歯医者さんに行けていなかった患者様の全体的なお口の中の治療計画を立て、けん引(歯の引き上げ治療)、むし歯治療、ホワイトニング、部分矯正、インプラントを組み合わせ、見た目にも機能的にも健康な歯を目指します。
治療中の画像は仮歯の状態です。
治療前

治療中

※治療中の画像は仮歯の状態です。
〒532-0006
大阪府大阪市淀川区西三国4-1-1
アーバンハイム川103
0120-548-067
06-4867-3192
06-4867-3194
06-4867-3194
ご予約の患者様を優先させて頂いております。
午前:9:30~13:00
午後:14:30~19:00
9:30〜13:00/14:00〜17:00
8:30~12:00【メンテナンス専門曜日】
※定期検診・クリーニング
水・祝不定休
★診療の場合あり


