2026年4月10日
「前歯のちょっとしたガタつきだけ直したい。でも矯正って高いんでしょ?」といった疑問を持つ方は多いのではないでしょうか。
歯列全体を動かす全顎矯正と比べれば、前歯だけを対象にしたプチ矯正(部分矯正)の費用は大幅に抑えられます。
全顎矯正の相場が60万〜150万円であるのに対し、プチ矯正は20万〜40万円台が中心的な価格帯です。
治療期間も1〜3年ではなく4〜6か月程度で済むケースが多いため、費用面でも時間面でもハードルが低い治療として注目されています。
ここで大切なのは、「費用が抑えられる=誰にでも向いている治療ではない」という点です。
プチ矯正は前歯の見た目を効率よく整えられる一方で、噛み合わせ全体の改善が必要な症例には向かないことがあります。見た目だけでなく、噛み合わせや長期的な安定性まで踏まえて、本当に部分矯正が適しているかを見極めることが重要です。
また(広告に出ている基本料金)=(最終的な支払総額)とは限りません。
矯正治療にはカウンセリング料、検査料、毎月の調整料、保定装置代、クリアブラケットへの変更費用など、
Webサイトで目にする金額と実際に支払う総額には差が生じやすい問題があります。
この記事では、プチ矯正の費用相場を矯正方法ごとに整理したうえで、治療前から治療後まで発生するすべてのコストを時系列で解説していきます。
医療費控除による負担軽減の方法や、クリニック選びで後悔しないためのチェックポイントにも踏み込みました。費用の全体像をつかんだうえで、ご自身に合った治療を選ぶ参考にしてください。
※なお、プチ矯正は「部分矯正」「前歯矯正」など複数の呼び方がありますが、いずれも前歯を中心とした一部の歯だけを動かす治療を指しており、本質的には同じものを意味しています。
クリニックによって表記が異なるため、
費用を比較する際には
「対象となる歯の本数」と「料金に含まれる範囲」を見比べることが重要です。

プチ矯正とは、前歯を中心に一部の歯だけを動かす部分矯正のことで、全顎矯正のように奥歯の噛み合わせまでは調整しません。対象は一般的に犬歯から犬歯までの上下各6本で、治療期間はおおむね4〜6か月ほどです。費用は選択する矯正方法によって大きく異なるため、まずは方法ごとの相場感を把握するところから始めましょう。
なお、同じ「部分矯正」という名称でも、医院によって対象歯数や治療範囲が異なることがあります。犬歯〜犬歯の6本を対象とする医院もあれば、前歯4本のみを対象とする医院もあるため、費用を比較する際には「何本分の費用なのか」を必ず確認してください。対象歯数が少なければ当然費用は下がりますが、隣接する歯を動かさないことで仕上がりのバランスに影響が出る場合もあります。
歯の表面にブラケットとワイヤーを装着する、もっとも歴史のある矯正方法で、部分矯正の場合の費用相場はおおよそ15万〜60万円です。金属製のメタルブラケットが最も安価ですが、口を開けたときに銀色の装置が見えてしまうため、「矯正していることを周囲に知られたくない」という方には心理的なハードルになるかもしれません。セラミック製やクリアコーティングのブラケットを選べば、正面からはほとんど目立たなくなります。そのぶん費用は上がりますが、見た目を重視する方にとっては検討の価値がある選択肢でしょう。
技術的な強みは、歯科医師がワイヤーの曲げ具合や力のかけ方を直接細かくコントロールできることです。前歯のねじれや軽度の叢生(歯が重なった状態)であれば、4か月前後で目に見える改善が得られるケースも少なくありません。1〜2本だけの歯並びの乱れなら、短期間かつ比較的低コストで整えられる可能性が高い方法といえるでしょう。
かずデンタルクリニックでは、表側ワイヤーによるプチ矯正に加え、クリアブラケットのオプション(27,500円〜55,000円/税込)を取り扱っており、見た目を気にされる方にも対応しています。
ブラケットを歯の裏側に取り付ける方法で、外見上は矯正していることがほぼわからない点が最大のメリットになります。部分矯正でも40万〜70万円程度と、表側矯正に比べて割高な設定です。理由は歯の裏側が表面より形状の個人差が大きく、ブラケットの設計・装着・調整いずれにも高い技術力が求められるため。1回あたりの診療時間も長くなりがちで、対応できる歯科医院自体が限られているという背景も費用に反映されています。
装着感としては、舌に装置が当たることで話しづらさや食事中の違和感を覚える方もいるでしょう。多くの場合は1〜2週間で慣れますが、表側矯正と比べて初期のストレスはやや大きめかもしれません。接客業や人前で話す機会が多い方にとっては魅力的な選択肢ではあるものの、費用と装着感のバランスを冷静に天秤にかけたうえで判断するのが望ましいといえます。
透明なマウスピースを段階的に交換しながら歯を動かす方法で、部分矯正の費用相場は10万〜40万円ほどです。取り外しが可能なので食事や歯磨きに支障が出にくく、見た目の負担も少ないことから「矯正=マウスピース」というイメージを持つ方が増えてきました。
ただし、マウスピース矯正にも明確な限界があることは理解しておく必要があります。歯の移動量に制限があり、重なりが大きい叢生や歯を大幅に動かすケースには向いていません。さらに見落とされがちなのが「装着の自己管理」という要素です。1日20〜22時間の装着を患者自身が守らなければ、計画通りに歯が動かず治療期間が延びてしまうリスクを抱えることになります。装着時間の不足が続くと追加のマウスピースが必要になり、費用が上乗せされるケースも珍しくないのが実情です。「手軽に始められる」というイメージだけで飛びつくと、思わぬ出費につながることがある点は押さえておきましょう。
こうした特性を踏まえると、「マウスピース一択」ではなくワイヤー矯正も含めた選択肢の中から、自分の症状と生活スタイルに合った方法を歯科医師と一緒に選ぶのが賢明な判断になるでしょう。
セラミック矯正は歯を削って被せ物(セラミッククラウン)を装着する方法で、1本あたり5万〜15万円が目安です。歯を「動かす」のではなく「被せ物の形で見た目を整える」アプローチであり、厳密にはプチ矯正とは異なる治療区分に分類されます。(補綴治療)
最大のメリットは治療期間の短さで、通院数回で見た目を変えられるケースもあるでしょう。ただし、健康な歯を大きく削る必要があるというリスクは見過ごせません。天然の歯は一度削ると元に戻せないうえ、被せ物には素材ごとの寿命があり、10〜15年後に再治療や交換が必要になる可能性が高いのです。つまり初回の費用が安く見えても、再治療込みの30年スパンで計算するとプチ矯正(歯を移動させる方法)のほうが経済的になるケースは十分にあり得ます。
同じ「前歯をきれいにしたい」という目的でも、
歯を削って形を整えるのか【=セラミック矯正】(被せ物)、
歯をできるだけ残しながら位置を整えるのか【=プチ矯正】(前歯部矯正)
によってアプローチの本質はまったく異なります。
将来のメンテナンスコストまで含めた比較が欠かせません。

プチ矯正の費用で最も混乱を招くのが装置代以外のコストでしょう。
「20万円から部分矯正OK」という情報を見て来院したのに、検査料や調整料が別途必要だと後から知った、といった経験をする方は実際に少なくありません。
治療前・治療中・治療後の3つのフェーズごとに、発生する費用の内訳を確認していきましょう。
初回カウンセリングは無料の医院が増えてきた一方、
精密検査・診断には15,000〜5万円程度の費用が発生するのが一般的な相場です。
内容はレントゲン撮影(パノラマ、セファロ)、歯科用CTスキャン、歯型の採取、口腔内写真の撮影、iTero(光学スキャナー)によるデジタルスキャンなどがあります。歯並びの状態を三次元的に把握し、正確な治療計画を立てるための資料づくりに必要な工程がすべて含まれています。
ここで見落とされやすいのが、矯正開始前に虫歯や歯周病を治療するステップです。
虫歯がある状態でブラケットを装着すると、装置の陰で虫歯が進行しても気づきにくくなり、矯正途中で装置をいったん外して治療し直すはめになることもあります。
歯周病が進行していると歯を支える歯槽骨が弱体化しており、矯正で力をかけること自体がリスクになりかねません。虫歯・歯周病治療は保険診療で対応できますが、矯正とは別枠の費用と通院期間が発生する点は予算計画に必ず組み込んでおきましょう。
矯正装置そのものの費用(装置料)に加え、通院のたびに調整料が3,000〜5,500円程度かかります。
プチ矯正では月1〜2回の通院が標準的で、4〜6か月の治療期間であれば調整料の合計は概算2万〜6万円ほどです。この金額を見積もりに入れていないと、想定から数万円単位でずれが生じかねません。
ここで理解しておきたいのが、「トータルフィー制(総額制)」と「処置料別払い制(調整料制)」という2つの料金体系の違いです。
トータルフィー制は装置代・調整料・保定装置代まですべてを含んだ総額を最初に提示する方式です。
治療が予定より長引いても追加費用が発生せず、予算の見通しを立てやすいメリットがあります。
一方の処置料別払い制は装置代を低く設定する代わりに、通院のたびに調整料が加算される仕組みです。治療が順調に終われば安く済む可能性はありますが、予定より長引くと総額が膨らむ構造になっています。
同じ「部分矯正20万円」という表記でも、トータルフィーで20万円なのか、装置代のみ20万円で調整料は別途なのかによって、最終的な支払額に10万円以上の差が出ることも珍しくありません。
「結局、全部でいくらかかるのか」を具体的な数字で確認し、見積書として書面にしてもらう習慣をつけてください。
矯正で歯を動かした後は保定期間に移行します。
歯には元の位置に戻ろうとする性質(後戻り)があり、これを防ぐためにリテーナー(保定装置)の装着が不可欠です。
保定装置の費用はマウスピースタイプで5,000〜3万円、固定式ワイヤータイプで1万〜6万円程度が相場になります。
かずデンタルクリニックでは後戻り防止用マウスピースが5,500円〜1万円(税込)と比較的リーズナブルな設定。
保定期間中には経過観察料として3,000〜5,000円/回が数か月〜半年に1度の頻度で発生します
保定期間は通常6か月〜2年程度が目安ですが、矯正歯科の臨床現場では「保定はできるだけ長く継続するのが望ましい」という考え方が主流になりつつあり、数年以上にわたりリテーナーを使い続ける方も増えてきました。せっかく整えた歯並びが崩れてしまえば、時間もお金もかけ直しになってしまいます。保定にかかる費用を「矯正費用の一部」として最初から計画に入れておくことが、トータルコストを最小化する鍵です。
なお、保定装置は大きく分けてマウスピースタイプ(取り外し式)とワイヤータイプ(固定式)の2種類です。マウスピースタイプは脱着でき、食事中や状況に応じて取り外せる一方、装着を忘れると後戻りが進みやすくなります。ワイヤータイプは歯の裏側に細いワイヤーを接着するため装着忘れの心配はありませんが、ワイヤー周辺に歯石がつきやすく、定期的なクリーニングが重要になります。どちらを選ぶかは生活スタイルやセルフケアの習慣によって最適解が変わるため、担当の歯科医師と相談のうえ決めるとよいでしょう。

ここまで各費用項目を個別に見てきましたが、「結局自分はいくら払うのか」が最も知りたいところでしょう。かずデンタルクリニックのプチ矯正を例に、片顎治療の総額をシミュレーションしてみます。
装置料22万円(税込)、調整料が月5,500円×5か月で27,500円、後戻り防止マウスピース6,600円で、ここまでの合計は254,100円です。これにクリアブラケットを追加する場合は27,500円〜55,000円が上乗せされ、合計で281,600〜309,100円という計算になります。
全顎矯正の相場が60万〜150万円であることを考えれば、片顎25万円台から前歯の見た目を整えられるプチ矯正のコストパフォーマンスの高さが具体的にイメージできるのではないでしょうか。もちろん精密検査の費用や、虫歯治療が必要な場合の保険診療費は別途かかる点には留意が必要です。
一方、マウスピース矯正で部分矯正をした場合の相場は10万〜40万円程度と幅が広く、医院によっては追加のマウスピース代が別途発生するケースもあります。裏側ワイヤー矯正になると40万〜70万円とさらに上がるため、「どの方法で」「どの医院で」行うかによって総額には数十万円単位の差が生じ得る状況です。だからこそ、複数の医院でカウンセリングを受けて見積もりを比較する行動が、費用面での失敗を防ぐ現実的な手段になります。
ポイントは、費用だけを横並びで比較するのではなく、「その金額に何が含まれているか」まで分解して見ることです。装置料だけなのか、調整料込みなのか、保定装置代は含まれるのかなど、こうした費目を揃えて初めて、公正な比較が可能になります。

プチ矯正の費用は全顎矯正に比べれば低いとはいえ、20万〜40万円の出費は決して小さくありません。支払い方法の選択肢を知っておくだけで、治療開始の心理的なハードルはぐっと下がります。
多くの矯正歯科が取り扱うデンタルローンは、治療費を月々数千円〜1万円台に分割できる仕組みです。たとえば25万円を60回払いにすれば月々の負担は4,000円台になり、日常の出費として無理なく組み込めるでしょう。
かずデンタルクリニックではデンタルローン(120回払いまで対応)を導入しているため、患者さんの収入状況に合わせた柔軟な返済計画を立てることが可能です。
ご自身の収支に応じて、適切な審査と返済額・返済回数をご相談頂けます。
自己資金の足りない部分だけ"ちょこっと借りられる"プランもございます。
ただしローンには金利が発生するため、総支払額は一括払いより高くなる点を理解したうえで利用してください。
一括での支払いが可能な方であれば、クレジットカード・QRコード決済の活用も。
カード会社の分割払いやリボ払いも選択肢になりますが、金利手数料を考慮すると、デンタルローンのほうが利率が低いケースもあるため比較が必要です。
意外と見落とされがちなのが、支払いのタイミングです。
クリニックによっては装置料を一括で支払う方式と、治療の進行に合わせて段階的に支払う方式が用意されています。一括払いの場合は治療開始前にまとまった金額が必要ですが、トータルフィー制であれば「これ以上かからない」という安心感につながるはずです。
一方で処置料別払い制(調整料制)は、初期負担が軽い反面、治療が長引くと支払いも延びるため、総額の見通しが立てにくいというデメリットが生じます。自分の資金計画に合った支払い方式を選ぶことも、「費用で後悔しない」ための大切な要素でしょう。

部分矯正の最大のメリットは、全顎矯正と比べて費用と治療期間を大幅に圧縮できることです。
しかし、すべての歯並びに対応できるわけではないため、「自分の症状が本当にプチ矯正の適応範囲に入っているか」を正確に見極めるプロセスが欠かせません。
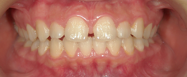
前歯に限った軽度の叢生、すきっ歯、わずかな出っ歯やねじれは部分矯正の適応範囲です。犬歯〜犬歯の間で1本だけ奥に引っ込んでいる、前歯2本の間にすき間がある、といった症状が代表例でしょう。噛み合わせには大きな問題がなく、見た目の改善が主な目的の方に適した治療法です。
かずデンタルクリニックの公開症例では、20代女性が前歯の叢生を片顎プチ矯正で4か月・22万円(税込)+調整費で改善した事例や、10代女性の前歯のすき間を同じく4か月で整えた事例が紹介されています。適応する症状であれば、プチ矯正は費用対効果が非常に高い治療選択であることがわかるでしょう。
噛み合わせに根本的な問題がある場合、奥歯の位置関係まで変える必要があるケースは、プチ矯正の適応外になります。抜歯を伴うほど重度のガタつき、骨格性の受け口や上顎前突、顎の左右非対称が顕著な場合なども同様です。こうした症状に無理やり部分矯正を適用すると、前歯だけは並んだものの奥歯の噛み合わせが崩れたり、矯正後の後戻りが加速するリスクがあります。
最悪の場合は再治療が必要になり、結果的に全顎矯正より高額になるという事態にもなりかねません。費用を抑えたい気持ちは当然ですが、「安いから」という理由だけでプチ矯正を選ぶのは避けるべきでしょう。部分矯正と全顎矯正の両方を扱い、客観的な診断に基づいてどちらが最適かを提案できるクリニックで精密検査を受けることが、長い目で見れば最もお金を無駄にしない選択につながります。
カウンセリングを受けた結果、部分矯正ではなく全顎矯正を提案されることもあるでしょう。その場合、「費用が高い治療を勧められた」とネガティブに受け取るのではなく、「より確実な仕上がりが期待できる治療が見つかった」と捉えるのが建設的です。部分矯正の適応外を無理に部分矯正で進めて後悔するよりも、全顎矯正で一度しっかりと整えたほうがトータルの費用も時間も節約できるケースは多いのです。
とはいえ、全顎矯正の費用は部分矯正の数倍に達するため、予算との折り合いが課題になるのは事実です。その場合はデンタルローンで月々の支払いを抑えたり、治療開始時期をずらして貯蓄期間を設けたりするなど、経済面での計画を立てることも選択肢に含めてみてください。
重要なのは、「費用が安い治療=自分に最適な治療」とは限らないという視点を持つことです。

矯正治療は原則として自由診療(健康保険の適用外)で、費用は全額自己負担です。
しかし、国税庁の公式サイトでは、歯列矯正を受ける人の年齢や目的から見て必要と認められる場合は医療費控除の対象になると示されています。うまく活用すれば、支払った治療費の一部を税金の還付として取り戻すことが可能です。
子どもの矯正は、成長段階の不正咬合を放置すると顎や歯の正常な発育が阻害される恐れがあるため、控除対象として認められやすい傾向にあります。大人の場合は、噛み合わせが悪く咀嚼や発音に支障がある場合など、「機能回復が目的」と歯科医師が診断した治療に限り控除対象になり、見た目を良くしたいだけの審美目的では対象外となります。
ただし、歯並びの悩みで来院した方が精密検査を受けた結果、機能的な問題が同時に見つかるケースは珍しくありません。歯並びの乱れを長年放置していると、本人が自覚しないまま咀嚼効率が低下していたり、清掃性の悪化から歯周病リスクが上がっていたりするものです。「自分は審美目的だから控除は関係ない」と決めつけるのではなく、歯科医師に相談してみる価値は十分にあります。
医療費控除の計算は「年間の医療費合計 − 保険等で補填された額 − 10万円(※総所得200万円未満の方は所得の5%)」で控除対象額を算出し、所得税率を掛けた金額が還付される仕組みです。
たとえばプチ矯正で年間30万円を支払った場合、控除対象額は20万円となり、所得税率10%の方なら約2万円、20%の方なら約4万円が所得税から還付される見込みです。翌年度の住民税(一律10%)からも控除されるため、所得税率20%の方であれば合計約6万円の負担軽減になります。プチ矯正の費用が22万円であれば、実質的な自己負担は16万円台にまで下がる可能性があるわけです。
申請は確定申告で行い、治療費の領収書を保管しておくのが前提です。デンタルローン利用の場合はローン契約成立年に医療費全額を申告できますが、金利・手数料は控除対象外です。通院にかかった公共交通機関の交通費も合算可能なので、通院のたびに日付と金額を記録しておくと申告がスムーズに進むでしょう。
具体的な申告の流れとしては、まず1年間の医療費領収書を集計し、国税庁の「確定申告書等作成コーナー」またはe-Taxを利用して申告書と医療費控除の明細書を作成します。毎年2月中旬〜3月中旬の確定申告期間に税務署へ提出(電子申告も可)すれば、受理後おおむね1〜2か月で還付金が指定口座に振り込まれます。申告を忘れた場合でも5年間は遡って還付請求が可能なので、治療年に申告しそびれても諦める必要はありません。
医療費控除は制度を知らなければ活用できないまま終わってしまうものでしょう。
プチ矯正を検討する段階であらかじめ情報を把握しておけば、費用面の判断材料が一つ増えるはずです。

プチ矯正のクリニック選びで費用面の失敗を避けるために、押さえておくべきポイントを整理しておきましょう。
第一は料金体系の透明性です。装置代だけでなく、検査料・調整料・保定装置代まで含めた「支払総額の目安」を初回カウンセリング時に具体的に提示してもらえるかどうか。金額をあいまいにするクリニックでは、治療途中で想定外の請求が発生するリスクがあります。
第二に、複数の矯正方法に対応しているかどうかを確認してください。ワイヤー矯正のみの医院ではマウスピース矯正が適していても提案できませんし、その逆も同じです。表側ワイヤー、裏側ワイヤー、マウスピースといった選択肢を複数持つ医院であれば、症状と予算に合わせた最適解を一緒に探してもらえるでしょう。
第三のチェックポイントは、部分矯正の症例実績です。プチ矯正は適応の見極めが治療結果を左右するため、「部分矯正で対応可能」「全顎矯正が必要」という判断を数多く下してきた経験値が仕上がりの精度に直結します。Webサイトで症例写真、治療期間、実際にかかった費用を公開しているクリニックは、治療の質に自信を持っている証拠ともいえるでしょう。
さらに、精密検査設備の充実度も判断材料になるでしょう。歯科用CTで骨の状態を三次元的に把握でき、iTero(光学スキャナー)で歯型のデジタルデータを正確に取得できる環境があれば、治療計画の精度が高まり、途中での計画変更や追加費用の発生リスクを低く抑えられます。
最後に付け加えておくと、「初回カウンセリングの質」もクリニック選びの重要な指標になります。治療費の説明が一方的ではなく、患者の予算や生活環境まで考慮したうえで複数の選択肢を提案してくれるかどうかを確認しましょう。たとえば「費用を抑えたいならメタルブラケット、見た目を優先するならクリアブラケット、取り外しの自由度が欲しいならマウスピース」といった具合に、患者の優先順位に合わせた提案ができるクリニックは、治療中のコミュニケーションも円滑に進む傾向があります。カウンセリングの段階で費用や治療内容について遠慮なく質問できる雰囲気かどうか、実際に足を運んで確かめてみてください。
大阪市淀川区・阪急三国駅と地下鉄東三国駅からアクセスできるかずデンタルクリニックでは、前歯6本(犬歯〜犬歯)を対象としたプチ矯正(自由診療)を行っています。
費用は片顎(上顎または下顎)22万円(税込)、上下両顎で33万円(税込)の一律設定です。毎月の調整費用は5,500円(税込)で、後戻り防止のマウスピースが5,500~1万円(税込)装置を目立ちにくくしたい方にはセラミック製のクリアブラケット(27,500円〜55,000円/税込)もご用意しています。
治療期間は4〜6か月、通院回数は8〜12回が目安です。
矯正専門のドクターが複数在籍し、歯科用CTやiTero(光学スキャナー)による精密検査体制を備えているため、部分矯正の適応判断を正確に行ったうえで費用を含めた治療計画をご提案いたします。デンタルローン(120回払いまで対応)やクレジットカード決済、QRコード決済にも対応しており、お支払い方法の選択肢も豊富です。
プチ矯正のカウンセリングは毎日受け付けています。「自分の歯並びはプチ矯正で対応できるのか」「総額でいくらになるのか」などの疑問を、まずは相談の場で解消してみてはいかがでしょうか。カウンセリングでは口腔内の状態を確認したうえで、プチ矯正の適応可否と概算費用をお伝えしています。駐車場完備、キッズスペースもあるため、お子さま連れの方やお車での来院も安心です。
★デンタルローン(120回払いまで対応)、クレジットカード決済、QRコード決済にも対応!
🔻【参考例】前歯部矯正(プチ矯正)
治療前

治療中

治療後

〒532-0006
大阪府大阪市淀川区西三国4-1-1
アーバンハイム川103
0120-548-067
06-4867-3192
06-4867-3194
06-4867-3194
ご予約の患者様を優先させて頂いております。
午前:10:00~13:00
午後:14:30~18:30
9:30〜13:00/14:00〜17:00
8:30~12:00【メンテナンス専門曜日】
※定期検診・クリーニング
水曜日
★土・日・祝 診療しております



